3DCRT

3DCRT Τρισδιάστατη Σύμμορφη Ακτινοθεραπεία (3DCRT- Three Dimensional Conformal Radiation Therapy)

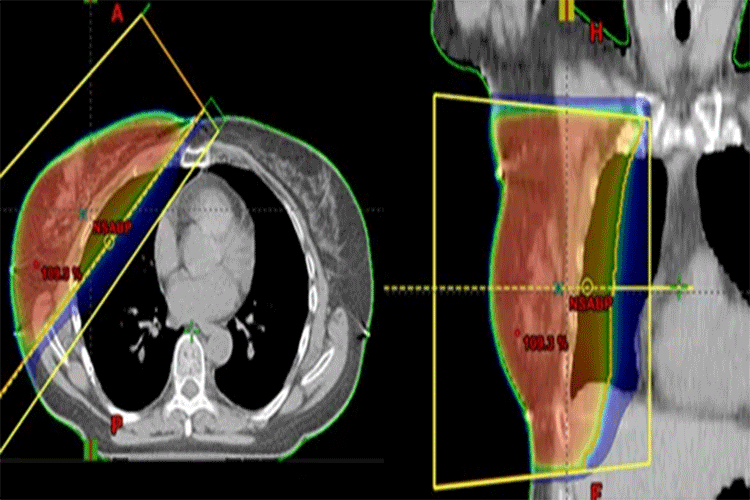
Η Τρισδιάστατη Σύμμορφη Ακτινοθεραπεία (3DCRT) αφορά την τρισδιάστατη Ακτινοβόληση του στόχου και αποτελεί εξέλιξη τη 2D τεχνικής.

Η θεραπεία σχεδιάζεται στην αρχική αξονική σχεδιασμού με γνώμονα την μέγιστη σύμμορφη ακτινοβόληση του όγκου στόχου και την ταυτόχρονη προστασία των γύρω ιστών (Organs at risk).

Οι δέσμες ακτινοβόλησης εισέρχονται από συγκεκριμένες στατικές γωνίες.

Η θεραπεία δίδεται με γραμμικό επιταχυντή και απαιτούνται περίπου 20 λεπτά για την ολοκλήρωσή της.

Επικοινωνήστε με τη Γιατρό

11 + 4 =